Your patients are at the heart of Philips Compressed SENSE, which gives you more time to create an exceptional MR experience that enhances comfort and compliance. By shortening exam time and breath holds compressed sensing applications can make MRI scans easier on patients. Shorter time slots can give staff more time to prepare patients to promote high satisfaction.

Patients undergoing an MRI scan can experience anxiety and nervousness about the sound the MRI scanner makes and the time spent in an enclosed space. By shortening MRI scan times, Compressed SENSE can free up more time for staff to explain what the patient can expect and calm their anxiety.

After implementing Compressed SENSE , the Kurashiki Central Hospital increased the time spend with the patient during set-up by 67% which consequently resulted in an average decrease of 70% in incidents/errors1,2
The shorter scan times achieved with Compressed SENSE relieve the stress of a tight work schedule for the MR staff. Technologists can spend the gained time on increasing the image quality, or to take more time for patient preparation and dealing with safety aspects.“
Masayuki Kumashiro, PhD, Masayuki Kumashiro, PhD, Radiological Technologist and Director of Radiological Technology Kurashiki Central Hospital, Japan

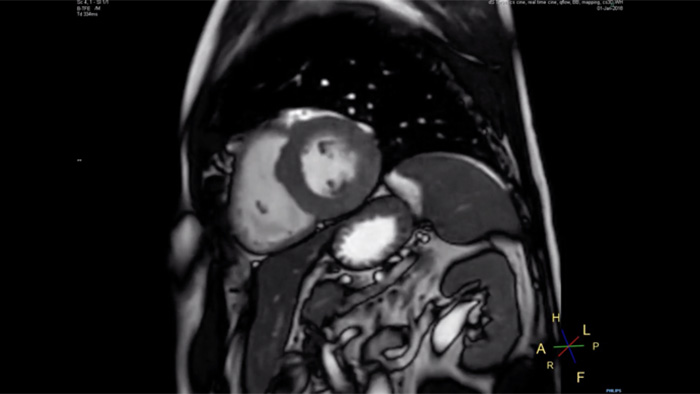
Philips Compressed SENSE reduces the time spent in the MRI scanner for the patient. Furthermore, Compressed SENSE enables the reduction of breath hold times which has the potential to improve compliance with an MRI scan.

4.8 sec breath hold time
Since short breath hold times make it easier for our patients to comply, the failure of breath holding largely disappeared.
At our facility, we found in Cardiac MR fewer breath holds are now needed, or breath hold times are shortened."
Dr. Takashi Koyama, MD, PhD, Diagnostic Radiologist and Director of the Department of Radiology Center and Diagnostic Radiology, Kurashiki Central Hospital, Japan
A 15- or 16-second breath-hold is tough for many cardiac patients. With Compressed SENSE we actually have protocols now that can get that below 10 seconds. It’s a lot easier to get through for a patient, and patients are a lot more satisfied with the experience.”
Trevor Andrews, Ph.D., MR Physicist, University of Vermont Medical Center, USA
I think in GI oncology the Compressed SENSE really has a huge impact on scan time, which is for these patients, who have real difficulty lying for long times, because they are in pain or compromised in terms of their breathing cycles, if you can reduce for example in a dynamic mDIXON sequence your breath-hold from 12 or 13 seconds down to 9 seconds, this is really something that patients appreciate a lot. And which then directly returns into improved image quality.”
Dr. Christoph Juli, Spitalklinikum Spital Uster, Switzerland

Compressed SENSE reduces SAR which is better for the patient and which gives you more confidence to accept challenging patients.
Patients with metal implants and other conditions can present challenges for MRI scanning because of the specified SAR levels required. By integrating Compressed SENSE into your ExamCard, you can reduce your total MRI exam time so that the SAR remains within the limits as specified by the MR Conditional implant manufacturer. This can allow you to scan patients who might otherwise not be accepted for an MRI scan. It also promotes greater patient comfort by shortening the scanning time.

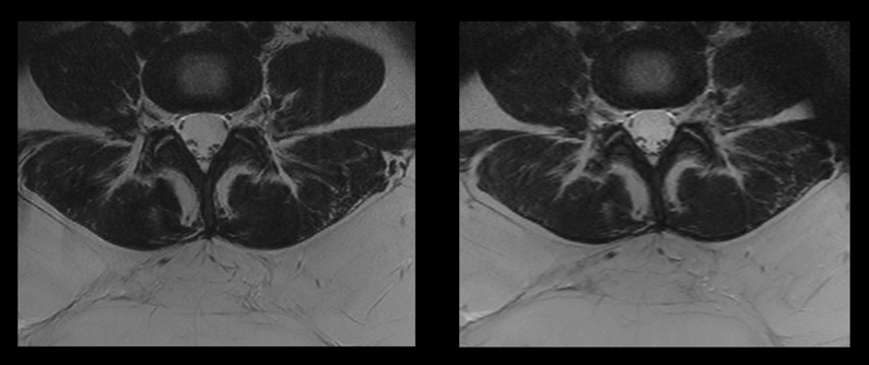
Comparison of two spine sequences with and without Compressed SENSE.
Image on the left: Conventional scan with SAR level of 2.5W/kg and a scan time of 7:33 min.
Image on the right: Compressed SENSE scan with SAR level of 1.9W/kg and a scan time of 3:21 min.
We’re looking to lower the age of children who we can scan without anesthesia. Compressed SENSE would be one of the foundational pieces of this program."
Jeffrey H. Miller, M.D. Chief of Radiology, Phoenix Children’s Hospital, USA


There was a borderline sedation patient getting an abdomen MR. We discussed with the parents that we could try it without anesthesia using Compressed SENSE to see if the child could get through the exam. The child was able to complete the exam and not have anesthesia.”
Jeffrey H. Miller, M.D., Chief of Radiology, Phoenix Children’s Hospital, USA

Compressed SENSE can accelerate most MRI scan sequences without sacrificing image quality, which allowed KOYASU Neurosurgical Clinic (KNC) to shorten its MRI time slots. As a result, KNC increased the throughput of their MRI scanner with an average of three additional patients per day.

Learn more about the main principles of Compressed SENSE MRI software and how it introduces a paradigm shift in productivity. Compressed SENSE was designed around image quality, and it can accelerate scans, increase spatial resolution and enhance the patient experience for clinical MR imaging.

The MRI staff at Kurashiki Central Hospital incorporated Compressed SENSE into most of the brain, spine, abdominal, and cardiac examination protocols on their Ingenia 1.5T, resulting in fast and high-quality MRI scans, which is welcomed by patients and staff.
You are about to visit a Philips global content page
ContinueВеб-сайт призначений лише для лікарів та медичних працівників, які використовують медичне обладнання в своїй професійній діяльності; осіб, які працюють в сфері організації охорони здоров’я або які реалізовують медичне обладнання.
Ви належите до вищезазначених категорій осіб?