
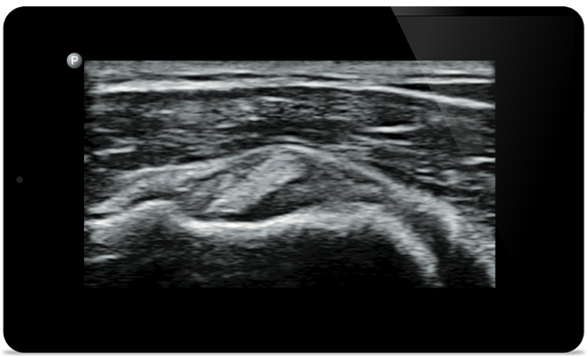
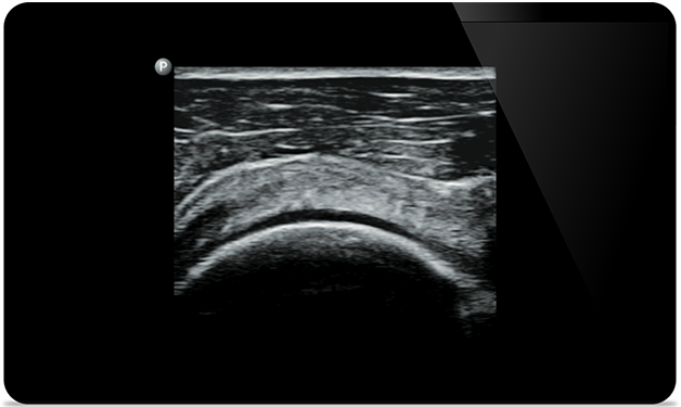
Start treatment with an accurate diagnosis
Lumify helps you see the fine details in muscles, joints, ligaments, tendons and cartilage to make a more accurate diagnosis of injuries.

Respond fast with whole-body imagery
Lumify can help you assess patients from head to toe, whether it’s plantar fasciitis, tendonitis or bursitis in the patellar tendon, or even shoulder instability in the rotator cuff.

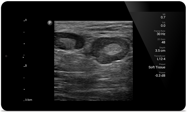
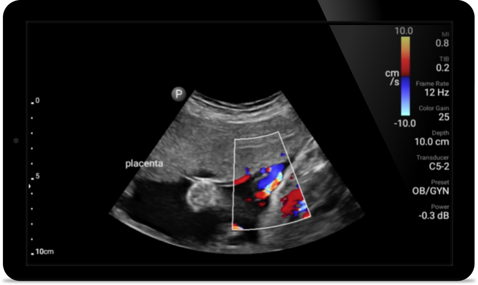
Get the clarity of larger ultrasound systems with Lumify
SonoCT reinforces real tissue imaging while eliminating random artifacts. This technology produces images superior to conventional imaging in up to 94% of patients.


Professor, Charles Sturt University














• 5 to 2 MHz extended operating frequency range • 50mm radius of curvature • 2D, color Doppler, M-mode, advanced XRES and multivariate harmonic imaging, SonoCT • High-resolution imaging for deeper applications: abdominal, gall bladder, OB/GYN and lung imaging preset optimizations



Video
Ultrasound-guided
knee arthrocentesis

Case study
Supraspinatus tendon tear

Quick guide
Ultrasound-guided hip arthrocentesis
You are about to visit a Philips global content page
ContinueВеб-сайт призначений лише для лікарів та медичних працівників, які використовують медичне обладнання в своїй професійній діяльності; осіб, які працюють в сфері організації охорони здоров’я або які реалізовують медичне обладнання.
Ви належите до вищезазначених категорій осіб?