The application generates qualitative and quantitative information about changes in image intensity over time.
Neurological cases can be challenging - especially strokes, where “time is brain” and you need to act fast. IntelliSpace Portal offers a rich suite of advanced visualization neurology tools to help you assess blood flows to different parts and tissues of the brain, and evaluate neurological degenerative diseases. The IntelliSpace Portal neurology package includes a longitudinal brain lesion tracker and smart ROI tools that are designed to support diagnostic confidence.
Advanced 3D and graphical tools help you store, present, and communicate clinical information to support diagnostic confidence and productive collaboration.
Determine areas of reduced cerebral blood flow as compared to the contralateral hemisphere
Generates qualitative and quantitative information about changes in image intensity over time. The application calculates and displays quantitative color maps of cerebral blood flow (CBF), cerebral blood volume (CBV), mean transit time (MTT) and time-to-peak (TTP), and provides summary maps which may help physicians in determining areas of reduced cerebral blood flow compared to the contra lateral hemisphere.

Benefits
IQon Spectral CT Functionality
Benefits

Review spectral data in a range of not spectral-enhanced CT applications
Allows retrospective use of spectral data that was saved in a series of spectral base images (SBI). The fast launch of LMG allows review and identification of the most relevant results to be launched into the application for further analysis.

Benefits
IQon Spectral CT Functionality
IQon Spectral CT is the only scanner to offer CT Spectral Light Magic Glass and CT Spectral Magic Glass on PACS, helping radiologists review and analyze multiple layers of spectral data at once, including on their PACS.

Benefits
* Standard with the CT Spectral option on IntelliSpace Portal.
IQon Spectral CT* Functionality
The spectral viewer is optimized for analysis of spectral data sets from the IQon Spectral CT Scanner. Obtain a comprehensive overview of each patient quickly and easily, quantify quickly, and assist in diagnosis. It is designed to accommodate general spectral viewing needs with additional tools to assist in CT images analysis.

Benefits
* IQon CT reconstruction provides a single DICOM entity containing sufficient information for retrospective analysis - Spectral Base Image (SBI). SBI contains all the spectrum of spectral results with no need for additional reconstruction or post-processing. Spectral applications are creating different spectral results from SBI.
Streamlined modeling workflow
Allows to view volumetric images of anatomical structures, perform segmentation, edit and combine segmented elements (tissues) into a 3D model.

Benefits
*3D models are not intended for diagnostic use.
Comprehensive vascular analysis planning
Designed to examine and quantify different types of vascular lesions from CTA and MRA scans. It accommodates different modes of inspection, allows labeling different vascular lesions, and helps navigating through multiple findings. Demonstrated to reduce the post-processing time by 50% when compared to manual Head & Neck CT angiography (CTA) analysis*.

Benefits
* Ardley N et al. Efficacy of a new post processing workflow for CTA head and neck. ECR 2013 / C-1760.
Computed diffusion weighted images at a b-value of choice
The application is intended to view, process and analyze MRI Diffusion Weighted Images. It calculates and displays cDWI at a
b-value of choice (from 0 to 5,000 s/mm2) and provides advanced supportive analysis and visualization tools of diffusion MRI images and parametric maps.

Benefits
Analyze diffusion and anisotropic properties of tissue
Designed to analyze diffusion and anisotropic properties of tissue. The application evaluates DWI series to generate parametric maps such as ADC and eADC. For Diffusion Tensor Imaging data, additional parametric maps are generated, including fractional anisotropy, axial diffusivity or radial diffusivity.

Benefits
Visualize white matter connectivity in the brain
Provides visualization and quantification of white matter structure in the brain and spinal tracts using task guidance for generating common or user-defined tracts.

Benefits
Brain activation analysis
Helps to identify and visualize functional regions of the brain, relying on local metabolic and hemodynamic changes that occur in activated brain areas.

Benefits
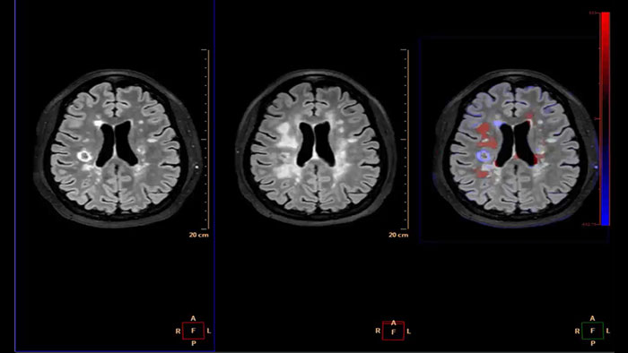
Gain an optimized view of the body’s most complex organ
Supports the visualization of brain images for the evaluation and monitoring of changes across multiple time points. The application performs automatic registration between studies and provides semi-automatic segmentation and editing tools for volumetric measurement of brain lesions.

Benefits
Automatic review of total body MR data
MR MobiView, an option within the Multi Modality Viewer, automatically combines "stitches“ images from multiple acquisitions of the same examination to create one overall volume.

Benefits
Automated brain image analysis solutions
MR NeuroQuant®* automatically segments and measures volumes of brain structures and compares these volumes to standard norms.

Benefits
* NeuroQuant is a trademark of CorTechs Labs, Inc.
Lesion characterization by reviewing vascular leakage
Designed to visualize T1 weighted DCE 3D datasets and assist in analyzing the tissue response.

Benefits
Review metabolite maps
MR SpectroView is a task-guided application providing hydrogen single voxel spectra as well as metabolic and ratio maps. It automatically identifies the anatomy to preselect appropriate metabolites or supports user-defined combination of metabolites.

Benefits
Perform basic calculations between two volumes
Enables basic calculations between two volumes, including addition, subtraction and ratio from within a single dynamic series.

Benefits
Reviewing brain tissue perfusion viability
Provides physicians with supporting information for the evaluation of stroke, or assessment and follow-up of brain tumors. The application supports the analysis of T2* Perfusion studies to generate parametric data including TTP, MTT or Tmax.

Benefits
Enhanced user experience for NM reading with a leading NM viewing solution
A comprehensive NM solution, designed to enhance productivity of PET/CT and NM reading. It offers a solution for handling multiple studies requiring rigorous quantification of MV data**.


Benefits
* Mirada is a registered trademark of Mirada inc.
** Please contact local Philips representative for details on multivendor coverage.
Assessing Amyloid plaque
The NM NeuroQ Amyloid analysis tool is designed to help clinicians to assess the presence or absence of Amyloid plaque in the brain. Provides quantitative analysis tools for Brain PET scans using NeuraCeq or Amyvid agents.

Benefits
*NeuroQ is a trademark of Syntermed.
Contrast arterial structures with surrounding bone and soft tissue to assist in identification of vascular abnormalities
The XA Vascular Processing – DSA (in MMV) expands your workflow by allowing you to read and post-process iXR images virtually anywhere. Obtain images of arteries in various parts of the body using tools to perform standard and run subtractions, pixel shifting, and landmarking. This application also provides post-processing tools to edit and optimize the DSA XA data created in the interventional room.

Benefits
Comprehensive reviewing tool for multiple modalities, all in a single viewer
The Multi Modality Viewer (MMV) now supports viewing and post processing of angiography images and series. Review and perform analysis of angiographic imaging alongside other modalities for a comprehensive review of the patient case. Perform vascular processing of images (Digital Subtraction Angiography) – subtraction, pixel shifting and land marking. Include key images into the generic MMV report. Prior to the intervention, relevant diagnostic (MR and or CT) data can be bookmarked and automatically retrieved upon patient selection in the Allura, or the Azurion suites.

Benefits
You are about to visit a Philips global content page
ContinueВеб-сайт призначений лише для лікарів та медичних працівників, які використовують медичне обладнання в своїй професійній діяльності; осіб, які працюють в сфері організації охорони здоров’я або які реалізовують медичне обладнання.
Ви належите до вищезазначених категорій осіб?