Бажаєте дізнатися, як зробити проведення МРТ-досліджень більш передбачуваним, продуктивним і економічно ефективним? МРТ-дослідження без використання гелію – це шлях до успіху. Гелій є обмеженим ресурсом, і це може ускладнити процедуру та зробити її більш непередбачуваною і витратною. Саме тому ми розробили революційний магніт BlueSeal. Він розроблений на основі десятирічних інновацій і використовує лише сім літрів рідкого гелію, замість звичайних 1500 літрів. Він повністю герметичний, що виключає потенційні ускладнення, пов’язані з гелієм, під час проведення МРТ. Крім того, Ingenia Ambition 1.5T забезпечує високоякісне сканування, надійну роботу й легке розміщення. Чи готові ви до нової реальності МРТ?
Магніт Philips BlueSeal використовує нову високоефективну технологію мікроохолодження. Він повністю герметичний, тому гелій не витікає2 – ні раптово під час зниження магнітного поля, ні поступово. Це суттєво впливає на безперервність, безпеку та вартість МРТ-досліджень.
Тепер ви можете отримати все це із системою Ingenia Ambition. Вона надає можливості для покращення МРТ-візуалізації на всіх рівнях.

SmartSpeed Штучний інтелект SmartSpeed дозволяє скоротити час сканування до 65% з такою ж або вищою якістю зображення

Досвід співробітників Підвищення ефективності роботи персоналу завдяки робочому процесу, який забезпечує підтримку та автоматизацію там, де це необхідно.

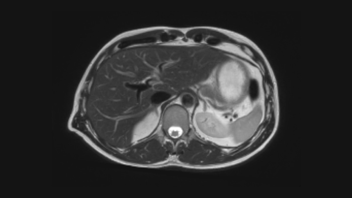
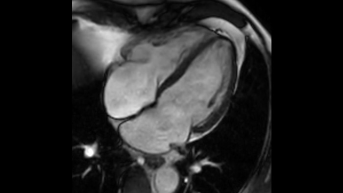
Діагностична точність Розширте свої можливості візуалізації в усіх клінічних областях. Дізнайтеся, які переваги отримують ваші колеги.
Магніт Ingenia Ambition із напруженістю поля 1,5 Тл є наступним поколінням МРТ-технологій. Він поєднує в собі найголовніші риси, що характеризують ефективну МРТ-систему.
Константино Пенья (Constantino Peña)
Директор медицини, спеціаліст у сфері візуалізації судин у лікарні Baptist Hospital при інституті Miami Cardiac and Vascular Institute
Цей метод не лише допомагає нам заощаджувати енергію. Адже на охолодження 1500 літрів гелію витрачається багато енергії. Він також дозволяє заощаджувати кошти і є більш безпечним для довкілля.
Доктор Маріа дель Мар Трав’єзо (Marίa del Mar Travieso)
Завідувач відділення радіології, лікарня Hospitales San Roque, Іспанія
Існує безліч програм, метою яких є вдосконалення робочого процесу. Наприклад, Compressed SENSE, VitalEye та VitalScreen. Нам здається, що ця система поєднує в собі такі плюси, як безпечна робота та вдосконалення робочого процесу.
Шибукава (Shibukawa)
Лаборант-рентгенолог, університет Tokai University, Японія

Тепер ви можете отримати все це із системою Ingenia Ambition. Вона надає можливості для покращення МРТ на всіх рівнях.

Швидкість і& комфорт Зниження необхідності затримки дихання на 40% без втрати якості зображення4.

Працюйте ефективно із самого початку Зосереджуйтеся на скануванні під час перегляду результатів, подальшої обробки результатів або підготовки наступного пацієнта.

Ефективне керування енергоспоживанням Зниження енергоспоживання на 53% на одне сканування пацієнта6.
Це інноваційне рішення пропонує безліч клінічних, операційних і фінансових переваг.

Завантажити брошуру Ingenia Ambition 1.5T

Дізнайтеся більше про характеристики виробу

Дізнайтеся, як інституту MCVI вдалося покращити якість МРТ-досліджень.

Значне підвищення точності МРТ-дослідження дітей у лікарні Altona Children’s Hospital.
1 Відповідно до визначення ШІ від групи експертів ЕС високого рівня. 2 Навіть у рідких випадках розгерметизації магніту незначна кількість гелію, що витік, суттєво не вплине на рівень кисню в кабінеті. 3 Порівняно з томографами Philips без технології Compressed SENSE. 4 Для низької частоти серцевих скорочень (50 уд/хв), порівняно з томографами Philips без технології Compressed SENSE. 5 На тривимірних ізотропних зображеннях кістково-м’язової системи (3D MSK VIEW) порівняно із зображеннями, отриманими за допомогою сканерів Philips без застосування технології Compressed SENSE.
You are about to visit a Philips global content page
Continue